El ser humano siempre ha sentido la necesidad de expresarse, marcar su identidad y simbolizar experiencias o creencias a través de su cuerpo. En las últimas décadas, los tatuajes han experimentado un notable aumento en popularidad a nivel mundial. Este fenómeno ha impulsado un interés creciente en comprender las implicaciones biológicas que conlleva la inserción de pigmentos en la piel. Más allá de su dimensión estética y cultural, el tatuaje constituye una intervención cutánea que provoca una respuesta biológica controlada y compleja.
¿Qué estará ocurriendo en nuestro cuerpo cuando se realiza un tatuaje?
A las células les corresponde el rol de que no sean efímeros, que perduren en el tiempo y conserven la tonalidad e integridad de sus trazos. El sistema inmunológico desempeña un papel fundamental en este proceso, mediando la fijación y persistencia del pigmento en la dermis y modulando la reacción inflamatoria inicial y la posterior adaptación del tejido.
El proceso del tatuaje: lo que ocurre en la piel.

La tinta de los tatuajes está basada en pigmentos insolubles. La técnica del tatuaje implica la penetración repetida de agujas tanto en la epidermis como en la dermis donde se asientan los pigmentos por capilaridad. Este procedimiento genera consecuencias sobre la piel, se crean múltiples microheridas que desencadenan el proceso de reparación tisular. Además, la tinta es un agente extraño por lo que se debe actuar contra ella e intentar destruirla o eliminarla.
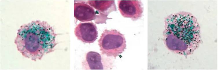
Tras la lesión comienza la participación de diversas células inmunes en la defensa y adaptación del tejido para estabilizar el tatuaje. Los neutrófilos son los primeros que migran al sitio afectado. Responden a patrones moleculares asociados a daños liberados por las células lesionadas, estos envían señales químicas que atraen a los macrófagos y las células dendríticas, iniciando la respuesta inflamatoria y de cicatrización. Una vez allí, secretan proteínas reparadoras y activan a los fibroblastos para que colaboren en la reversión del daño tisular. También se encuentran con las partículas insolubles de tinta que no se drenaron por la circulación y las fagocitan.
¿Cómo se mantienen los tatuajes en nuestra piel?

Los macrófagos son células presentadoras de antígenos (APC), fagocitan a los invasores y se los muestran a los linfocitos T, o los eliminan directamente una vez engullidos en sus compartimentos lisosomales. La función de los macrófagos aquí sería desaparecer la tinta y reparar las lesiones ocasionadas. Sin embargo, los tatuajes no desaparecen porque el carbono mineral o metales que contiene la tinta no son biodegradables. Es la razón por la cual, a pesar de que el macrófago ponga todo su empeño, no es capaz de destruirlos y lo único que consigue es almacenarlos en vesículas en su interior.
Cuando el macrófago muere libera las partículas de tinta que había estado almacenando y quedan atascadas momentáneamente entre la matriz y los fibroblastos. Rápido aparece otro macrófago, limpia los restos celulares, engulle las partículas y las vuelve a fijar en el mismo sitio.
Las células dendríticas actúan también como APCs, capturando restos celulares o pigmento asociado, procesando dichos antígenos y activando la respuesta adaptativa en los ganglios linfáticos, lo que contribuye a la tolerancia o a respuestas inflamatorias específicas. Cuando las células dendríticas mueren, los macrófagos del ganglio fagocitarán también estas cargas de tinta que llevan a los ganglios, haciendo que la tinta perdure allí.
Los fibroblastos también intervienen, ayudan a atrapar pigmentos durante el proceso de cicatrización y forman parte del estroma que sostiene la tinta en la dermis.
El cuerpo acepta la tinta mediante un mecanismo de encapsulación dinámica. Existe un recambio celular constante, ciclos de muerte y renovación de células, que liberan y recapturan el pigmento. Esto explica porque el tatuaje permanece visible a lo largo del tiempo a pesar de la renovación celular. A este ciclo dinámico se le suma un fenómeno conocido como memoria inmunológica local, ya que el sistema inmune aprende a tolerar la presencia constante de tinta, evitando una respuesta destructiva significativa contra ella.
La permanencia del tatuaje no es estática, es el resultado de un proceso celular continuo, en el que el cuerpo aprende a coexistir con un elemento ajeno sin rechazarlo. No obstante, en algunos individuos esto puede fallar y observarse reacciones alérgicas tardías, granulomas o reacciones tipo cuerpo extraño originadas por ciertos pigmentos o aditivos. El tatuaje se establece como testimonio visible de la memoria biológica, una marca que une arte, ciencia e identidad.
Referencias Bibliográficas
Baranska, A., Shawket, A., Jouve, M., Baratin, M., Malosse, C., Voluzan, O., Vu Manh, T. P., Fiore, F., Bajénoff, M., Benaroch, P., Dalod, M., Malissen, M., Henri, S., & Malissen, B. (2018). Unveiling skin macrophage dynamics explains both tattoo persistence and strenuous removal. The Journal of experimental medicine, 215(4), 1115–1133. https://doi.org/10.1084/jem.20171608
Kröger, M., Schleusener, J., Lademann, J., Meinke, M. C., Jung, S., & Darvin, M. E. (2023). Tattoo Pigments Are Localized Intracellularly in the Epidermis and Dermis of Fresh and Old Tattoos: In vivo Study Using Two-Photon Excited Fluorescence Lifetime Imaging. Dermatology (Basel, Switzerland), 239(3), 478–493. https://doi.org/10.1159/000529577
Strandt, H., Voluzan, O., Niedermair, T., Ritter, U., Thalhamer, J., Malissen, B., Stoecklinger, A., & Henri, S. (2021). Macrophages and Fibroblasts Differentially Contribute to Tattoo Stability. Dermatology (Basel, Switzerland), 237(2), 296–302. https://doi.org/10.1159/000506540
Weiß, K. T., Schreiver, I., Siewert, K., Luch, A., Haslböck, B., Berneburg, M., & Bäumler, W. (2021). Tattoos – more than just colored skin? Searching for tattoo allergens. Journal der Deutschen Dermatologischen Gesellschaft = Journal of the German Society of Dermatology : JDDG, 19(5), 657–669. https://doi.org/10.1111/ddg.14436

Muy interesante!
MUY INTERESANTE EL ARTÍCULO!!!